MAGNEZIX® in orthopaedics
The MAGNEZIX® compression screws (CS) and pins offer a high quality implant portfolio for a wide range of indications in the treatment of malpositions of small to medium-sized bones and joints. Naturally, in the very highest quality "Made in Germany". The unique properties of the MAGNEZIX® material offer unique advantages for long-term patient care and optimal healing results.
Metallically stable and transformable
MAGNEZIX® implants are metallically stable - similar to conventional systems made of steel or titanium. This means that they are many times stronger than conventional polymer implants, and unlike normal metal screws or bone-wires, do not have to be removed again - because they are resorbed and replaced by stable endogenous tissue - that is why we call our implants transformable.
Their biomechanical stability ensures that the repositioning can be fixed in a stable manner. MAGNEZIX® implants are gradually resorbed and transformed within the body so that the regenerating bone can bear increasing loads as its load-bearing capacity returns - and no foreign material remains in the end.


Application examples
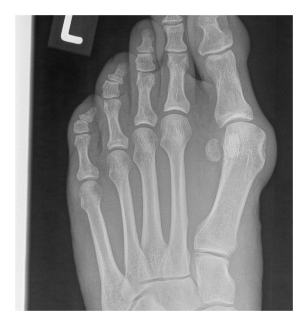
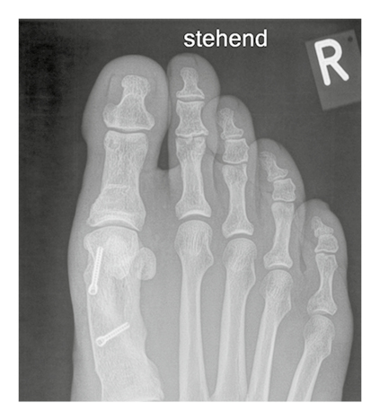
Hallux valgus correction: MAGNEZIX® CS and titanium in a comparison
The x-rays show a hallux valgus on the left foot treated with MAGNEZIX® CS over a period of 1 year post-op. The same procedure was performed on the patient's right foot years earlier with titanium screws which serves as a comparison.




